Dental braces (also known as orthodontic braces, or braces) are devices used in orthodontics that align and straighten teeth and help to position them with regard to a person's bite, while also working to improve dental health.
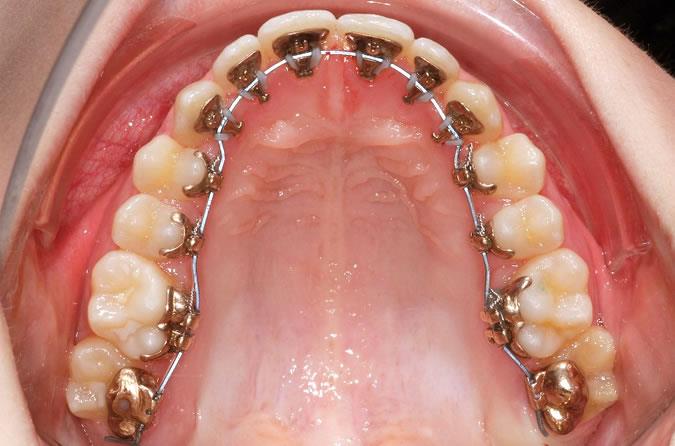
Lingual braces are custom made fixed braces bonded to the back of the teeth making them invisible to other people. In lingual braces the brackets are cemented onto the backside of the teeth making them invisible while in standard braces the brackets are cemented onto the front side of the teeth. Hence, lingual braces are a cosmetic alternative to those who do not wish the braces to be visible.
ClearPath Aligners are removable medical grade plastic appliances which patient wears instead of brackets and wires to correct malocclusion. Dental aligners are a modern alternative to braces, for teeth that are in need of straightening. A Clear change to the concept of Cosmetic and Adult Orthodontic treatment without using conventional methods of wires and brackets. Adults wouldn't have asked for a better choice to correct their malocclusion without social inhibitions. ClearPath dental Aligners also offer predictable results visualization even before the treatment Clear Aligners are clear removable cosmetic appliance designed for minor teeth movement of patients. Removability:- You can remove ClearPath aligners to eat, drink, brush and floss or for special occasions.
Very nice service I can eat what i want. Excellent work
Went to Vardhaman Dental clinic recently and I must say it's an excellent clinic. I was treated by one of the Doctor at the clinic (Dr Meghana) who cleared all my questions and worries before the treatment started and did a fantastic job. Thank you.
Better and decent place to visit and overcome your dental concerns....Patient,considerate and well suportive staff,provides alternate solution to resolve patient's problem ,fits into budget and ensures problem solution within specified time...